
Elazığ'da Hayati Müdahale
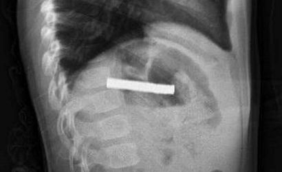
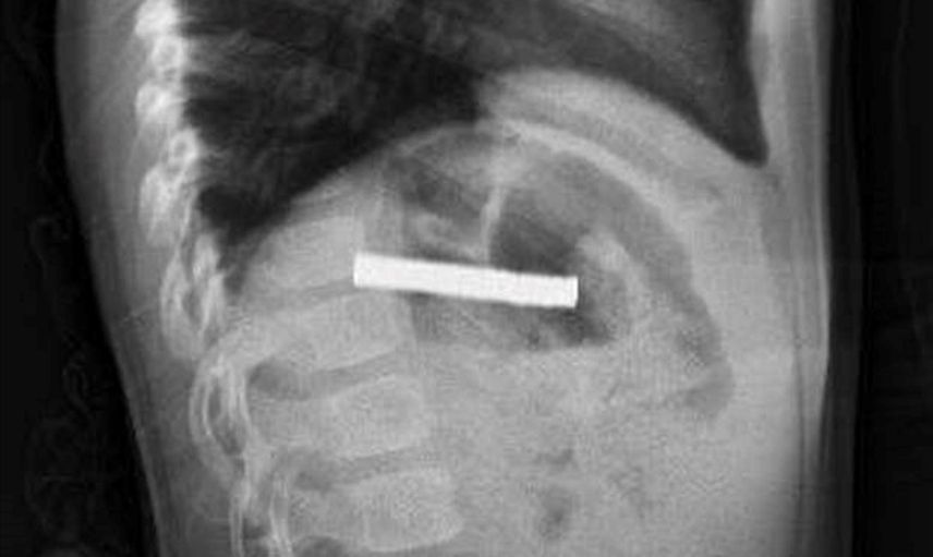
Elazığ'da, 3 yaşındaki bir çocuk, yemek borusuna kaçırdığı 19 mıknatıs ile sıkıntılı bir duruma düştü. Fırat Üniversitesi Hastanesi'nde gerçekleştirilen başarılı bir operasyon ile mıknatıslar çıkarıldı.
Olayın Gelişimi
Alınan bilgilere göre, çocuk, evde oyun oynarken bulduğu mıknatısları yutmuştu. Rahatsızlık hissetmesi üzerine, Erzurum Şehir Hastanesi'ne ambulansla kaldırıldı. Hastanede yapılan tetkiklerin ardından, durumunun acil olduğu belirlendi ve çocuk, ambulans helikopter ile Fırat Üniversitesi Hastanesi'ne sevk edildi.
Başarılı Cerrahi Müdahale
Fırat Üniversitesi Çocuk Gastroenteroloji Hepatoloji ve Beslenme Bilim Dalı Başkanı Prof. Dr. Yaşar Doğan liderliğindeki ekip, yaptığı tetkiklerde mıknatısların yemek borusunda yapışarak tıkanmaya neden olduğunu belirledi. Ekip, müdahale ederek mıknatısları başarılı bir biçimde çıkardı.
Çocuğun Durumu ve Tavsiyeler
Çocuk, yapılan işlemin ardından gözlem altında tutuldu ve ailesinin isteğiyle taburcu edildi. Prof. Dr. Yaşar Doğan, "Mıknatıslar uzun süre yemek borusunda kaldığı için hasar bırakmıştı. İşlemi kolaylaştırmak için mıknatıslar mideye alındı ve mideden özel bir fileyle çıkarıldı" şeklinde bilgi verdi.
Doğan, ailelere küçük çocukların erişebileceği yerlerde küçük cisimler bulundurmamaları konusunda uyarıda bulunarak, bu tür cisimlerin yutulma riskine dikkat çekti.
Elazığ'da 3 yaşındaki çocuğun yuttuğu ve yemek borusunu tıkayan 19 mıknatıs, Fırat Üniversitesi Hastanesi'nde yapılan başarılı bir operasyonla çıkarıldı.