DOLAR
42,59 -0,05%
EURO
49,54 0,1%
ALTIN
5.751,9 -0,22%
BITCOIN
3.859.326,38 0,08%

Prof. Dr. Nevzat Karabulut: Kalpteki gizli delikler paradoks emboliye yol açabilir

Prof. Dr. Nevzat Karabulut’un Radiology dergisinde yayımlanan çalışması, kalpteki gizli deliklerden geçen pıhtıların hayatı tehdit eden paradoks emboliye neden olabileceğini vurguluyor.

Yayın Tarihi: 07.01.2026 08:49
Güncelleme Tarihi: 07.01.2026 08:49

Prof. Dr. Nevzat Karabulut: Kalpteki gizli delikler paradoks emboliye yol açabilir

Prof. Dr. Nevzat Karabulut’un çalışması kalpteki gizli deliklerin riskine dikkat çekti

Bilgisayarlı tomografi anjiyografisi ve ekokardiyografinin erken tanıdaki önemi vurgulandı

Özel Denizli Tekden Hastanesi’nde görev yaptığı dönemde başarılı çalışmalara imza atan Radyoloji Uzmanı Prof. Dr. Nevzat Karabulut, kalpteki gizli deliklerin hayatı tehdit eden paradoks emboliye neden olabileceğini gösteren bulguları açıkladı.

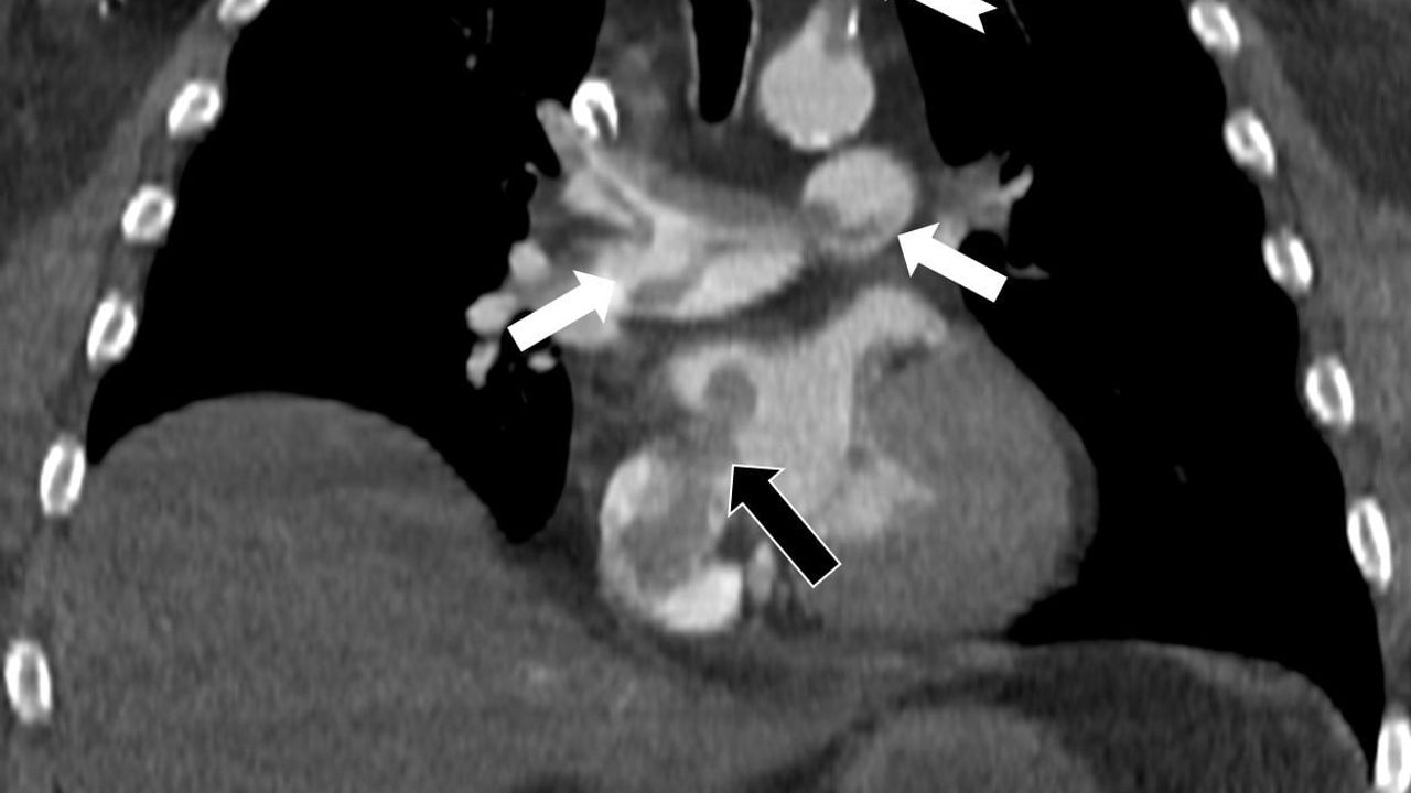
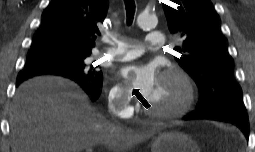
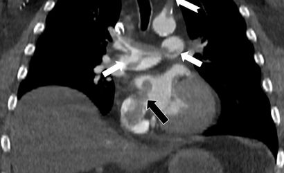
Radiology dergisinin 2025 Kasım sayısında yayımlanan "Paradoxical Embolism with Clot-in-Transit in Atrial Septal Defect" adlı çalışmada, penis ameliyatı sonrası 5 gün içinde ani göğüs ağrısı, nefes darlığı ve kol uyuşması şikâyetiyle başvuran 60 yaşındaki bir hastanın görüntülemeleri değerlendirildi.

Çalışmada bilgisayarlı tomografi anjiyografisi görüntüleri, toplar damarlardan kaynaklanan pıhtının akciğer damarlarını tıkadığını ortaya koyarken; aynı zamanda kalp odacıkları arasındaki bir delikten geçen pıhtının kalbin sağ tarafından soluna geçip ana atardamara ulaştığını ve sol kol damarını tıkadığı gösterildi.

Prof. Dr. Karabulut, emboli görüntülemesi alanındaki deneyimi doğrultusunda, genelde bacak damarlarından kaynaklanan pıhtıların akciğer embolisine yol açmasının yanı sıra; kalp deliği olan hastalarda pıhtının ana atardamar yoluyla beyin, kol ve bacak gibi bölgelere geçerek ani damar tıkanmalarına (paradoks emboli) sebep olabileceğini belirtti.

Çalışmada nedeni bilinmeyen pıhtı atmalarında kalpteki gizli deliklerin mutlaka araştırılması gerektiği vurgulandı ve ekokardiyografi ile bilgisayarlı tomografi tetkiklerinin erken ve doğru tanı koymada hayat kurtarıcı rolü olduğuna dikkat çekildi.

ÖZEL DENİZLİ TEKDEN HASTANESİ’NDE GÖREV YAPTIĞI DÖNEMDE DE BAŞARILI ÇALIŞMALARA İMZA ATAN...

ÖZEL DENİZLİ TEKDEN HASTANESİ’NDE GÖREV YAPTIĞI DÖNEMDE DE BAŞARILI ÇALIŞMALARA İMZA ATAN RADYOLOJİ UZMANI PROF. DR. NEVZAT KARABULUT, KALPTEKİ GİZLİ DELİKLERİN HAYATI TEHDİT EDEN PARADOKS EMBOLİYE NEDEN OLABİLDİĞİNİ ORTAYA KOYDU.

ÖZEL DENİZLİ TEKDEN HASTANESİ’NDE GÖREV YAPTIĞI DÖNEMDE DE BAŞARILI ÇALIŞMALARA İMZA ATAN...

Yazar
EDİTÖR

Burak Tekin

Ben Burak Tekin, 25 yaşındayım, İstanbul. itibarhaber.com Gündem ekibindeyim ve enerjimle sahadayım! Sokak röportajları, toplumsal olaylar ve anlık tepkiler benim uzmanlık alanım. Mikrofonu halka uzatmayı seviyorum, dinamik ve girişken biriyim.