DOLAR
42,59 -0,05%
EURO
49,54 0,1%
ALTIN
5.751,9 -0,22%
BITCOIN
3.859.326,38 0,08%

Kayseri'de mide kapsüllerinde 554 gram uyuşturucu ele geçirildi

Kayseri'de düzenlenen operasyonda İran kaynaklı kuryelerin midesinden 50 kapsül halinde toplam 554 gram uyuşturucu çıkarıldı; üç şüpheli gözaltında.

Yayın Tarihi: 09.12.2025 11:00
Güncelleme Tarihi: 09.12.2025 11:00

Kayseri'de mide kapsüllerinde 554 gram uyuşturucu ele geçirildi

Kayseri'de İran kaynaklı kuryelere operasyon: mide kapsüllerinde yarım kilo uyuşturucu bulundu

Narkotik ekipleri üç şüpheliyi yakaladı

Kayseri İl Emniyet Müdürlüğü Narkotik Suçlarla Mücadele Şube Müdürlüğü ekipleri, İran'dan Türkiye'ye uyuşturucu getirildiği belirlenen kişilere yönelik bir operasyon gerçekleştirdi.

Operasyonda yakalanan şüpheliler S.C., R.B.C. ve G.M. olarak kaydedildi.

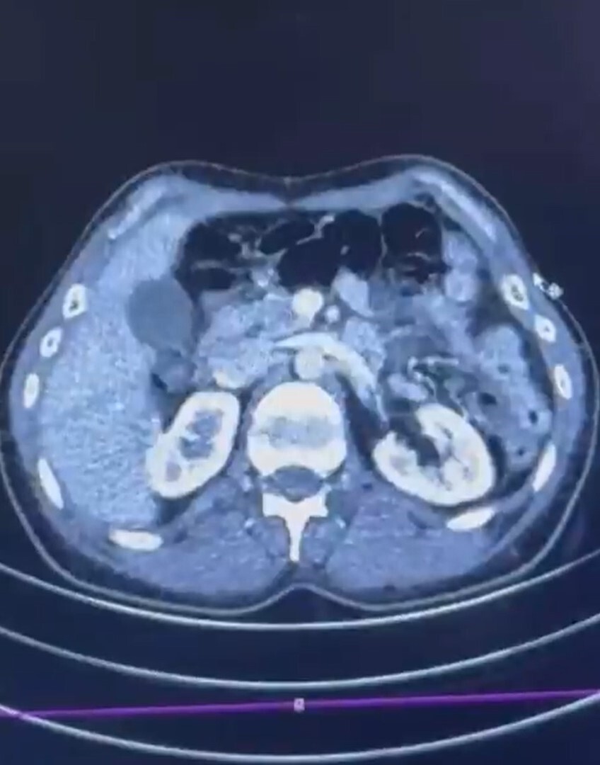
S.C. ve R.B.C.'nin Kayseri Şehir Hastanesi'nde yapılan iç beden muayenelerinde, mide bölgesinde 50 adet kapsül halinde toplam 554 gram uyuşturucu madde tespit edildi.

Şüpheliler gözaltına alınarak haklarında "Uyuşturucu Madde Ticareti Yapmak" suçundan işlem başlatıldı.

Kayseri İl Emniyet Müdürlüğü tarafından yapılan açıklamada: "Uyuşturucu ve uyarıcı madde satıcılarına karşı yürüttüğümüz mücadele aralıksız ve kararlı bir şekilde devam edecektir" denildi.

ŞÜPHELİLERİN MİDESİNDE KAPSÜL ŞEKLİNDE YARIM KİLO UYUŞTURUCU MADDE ELE GEÇİRİLDİ.

ŞÜPHELİLERİN MİDESİNDE KAPSÜL ŞEKLİNDE YARIM KİLO UYUŞTURUCU MADDE ELE GEÇİRİLDİ.

Yazar
EDİTÖR

Gizem Şener

Merhaba, ben Gizem Şener. 24 yaşındayım, İzmir. itibarhaber.com Gündem için kültürel gündemi ve toplumsal değişimleri yazıyorum. Sanatın, sosyolojinin ve gündelik yaşamın siyasete etkisini inceliyorum. Ekibin en entelektüel üyesi olduğumu söylerler.