DOLAR
42,59 -0,05%
EURO
49,54 0,1%
ALTIN
5.751,9 -0,22%
BITCOIN
3.859.326,38 0,08%

Ankara Mamak'ta sahipsiz köpeklerden kaçarken bileği kırılan kişi belediyeyi suçladı

Mamak'ta sahipsiz köpeklerden kaçarken düşen 35 yaşındaki Yasin Arslantaş'ın el bileği kırıldı; 11 platin takıldı, kalıcı hasar ve ekonomik-psikolojik zarar yaşandığını söylüyor.

Yayın Tarihi: 23.01.2026 15:56
Güncelleme Tarihi: 23.01.2026 16:13

Ankara Mamak'ta sahipsiz köpeklerden kaçarken bileği kırılan kişi belediyeyi suçladı

Sahipsiz köpeklerden kaçarken düşen yurttaşın bileği kırıldı

Olayın ayrıntıları

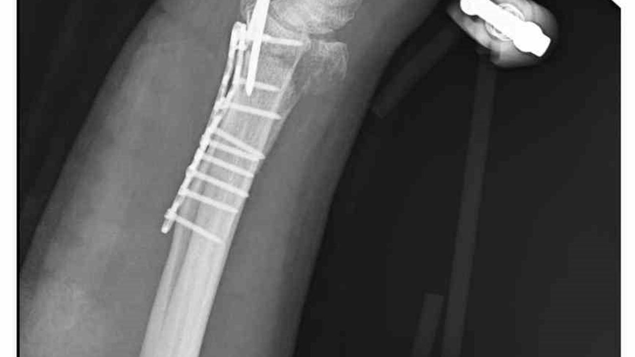
Ankara'nın Mamak ilçesinde, 29 Aralık günü meydana gelen olayda 35 yaşındaki Yasin Arslantaş, yaşadığı apartmanın önünde karşılaştığı sahipsiz köpeklerden kaçmaya çalışırken ayağının kayması sonucu düştü ve el bileği kırıldı. Olay sonrası ambulansla hastaneye kaldırılan Arslantaş'ın bilek kemiğine 11 adet platin yerleştirildi.

Mağdurun beyanı

Arslantaş, olay anını şöyle anlattı: 'Sabah apartmandan çıkarken arkamdan 9 köpeğin geldiğini gördüm. Saldırganlardı. Kaçmaya çalışırken düştüm.' Yaralanma sonucu bileğinde 15 dikiş olduğunu, geçirdiği ameliyatın 3 saat sürdüğünü ve kolunda kalıcı his ile hareket kaybı olabileceğinin kendisine bildirildiğini söyledi.

Hekimlerin aktardığı tedavi süreci yorumu şu şekilde: Kolunun ilk olarak 2 ay bu durumda kalacağı ve bunu takiben yaklaşık 2 buçuk ay fizik tedaviye ihtiyaç duyacağı belirtildi.

Belediye ile iletişim ve şikayet

Arslantaş, bölgedeki sahipsiz köpeklerle ilgili olarak belediye ekiplerinin yeterince ilgilenmediğini iddia etti. Yapılan şikayetlere belediyenin yaklaşık 20 gün sonra döndüğünü, bu dönüşün CİMER'e yaptığı şikayet sonrası gerçekleştiğini söyledi. Belediyenin köpekleri toplama sözü verdiğini ancak uygulama yapılmadığını, çevrede köpeklerin halen görüldüğünü ekledi.

Aile ve ekonomik-psikolojik etkiler

Yaşananların aile yaşamına ve iş durumuna etkisini de aktaran Arslantaş, günlük işlerini yapamaz hale geldiğini, işini kaybettiğini ve 7 yaşındaki kızının okul servisine yazdırılmak zorunda kaldığını belirtti. Ailesinin ve kendisinin psikolojik olarak etkilendiğini, köpek gördükçe rotasını değiştirmek zorunda kaldığını söyledi.

Not: Haber metnindeki tarihler, sayılar ve özel adlar kaynak metinden alınmıştır.

ANKARA’DA SAHİPSİZ KÖPEK SÜRÜSÜNÜN SALDIRISINDAN KAÇMAYA ÇALIŞIRKEN AYAĞININ KAYMASI SONUCU DÜŞEN...

ANKARA’DA SAHİPSİZ KÖPEK SÜRÜSÜNÜN SALDIRISINDAN KAÇMAYA ÇALIŞIRKEN AYAĞININ KAYMASI SONUCU DÜŞEN ADAMIN EL BİLEĞİ KIRILDI. YAŞADIĞI OLAY NEDENİYLE KOLUNDA KALICI HASAR MEYDANA GELEN ADAM BELEDİYE YETKİLİLERİNİN BAŞIBOŞ KÖPEKLERLE YETERİNCE İLGİLENMEDİĞİNİ İLERİ SÜRDÜ.

ANKARA’DA SAHİPSİZ KÖPEK SÜRÜSÜNÜN SALDIRISINDAN KAÇMAYA ÇALIŞIRKEN AYAĞININ KAYMASI SONUCU DÜŞEN...

Yazar
EDİTÖR

Defne Güler

Selamlar, ben Defne Güler. 23 yaşındayım, Bursa. itibarhaber.com Gündem'deyim ama çok spesifik bir alandayım: Çevre, iklim krizi ve şehircilik. Geleceğimizi ilgilendiren bu önemli konuları gündemde tutmak için buradayım. İdealist ve tutkulu biriyim.